Hsv Keratitis : A Primer On Herpes Simplex Keratitis - Modern Optometry

Patients with herpes simplex virus (hsv) keratitis can present some of the most challenging cases that eye surgeons treat.

Hsv Keratitis. By vanessa caceres eyeworld contributing editor. Home care clinicians with knowledge of the signs and symptoms of hsv and hsv keratitis can aid in early detection and treatment of this potentially serious infection. Formulary drug information for this topic. The prognosis in hsv keratitis, however. Hsv keratitis is a major cause of blindness worldwide 1. Herpes simplex virus (hsv) keratitis is the most frequent cause of blindness due to corneal disease in the united states and the most common source of infectious blindness in the western world. Herpes simplex virus is a common cause of corneal disease and is the leading infectious cause of corneal blindness among developed nations.18 we identified seven herpes simplex virus epithelial keratitis accounted for 47% of ocular hsv cases in the heds trial, compared to 66.1% of ocular hsv. Residents and fellows contest rules | international ophthalmologists contest rules. Hsv keratitis is a leading cause of infectious blindness. Hsv keratitis is the most common corneal infection in the united states.2 it is the number one cause of corneal and infectious blindness and a leading hsv keratitis can present with involvement of the corneal epithelium, stroma, or endothelium, with or without associated inflammation of the anterior. Keratitis (corneal infection and inflammation) caused by herpes simplex virus (hsv) is a major cause of blindness worldwide, due to corneal scarring and opacity 1. Hsv keratitis is usually diagnosed based on a patient's health history and findings from an eye exam. Developing vaccination using gene transfer approaches have been the focus of several studies. Herpes simplex virus (hsv) is a highly prevalent infection in the united states. Herpes simplex virus (hsv) is a very common infection that has been reported to be present in the trigeminal ganglion of nearly 100% of patients greater than age 60 at autopsy.

Hsv Keratitis : Herpes Simplex Keratitis

What is Herpes Keratitis? - American Academy of Ophthalmology. Herpes simplex virus (hsv) is a very common infection that has been reported to be present in the trigeminal ganglion of nearly 100% of patients greater than age 60 at autopsy. Herpes simplex virus (hsv) is a highly prevalent infection in the united states. Herpes simplex virus (hsv) keratitis is the most frequent cause of blindness due to corneal disease in the united states and the most common source of infectious blindness in the western world. Hsv keratitis is a leading cause of infectious blindness. Home care clinicians with knowledge of the signs and symptoms of hsv and hsv keratitis can aid in early detection and treatment of this potentially serious infection. Hsv keratitis is usually diagnosed based on a patient's health history and findings from an eye exam. Residents and fellows contest rules | international ophthalmologists contest rules. Herpes simplex virus is a common cause of corneal disease and is the leading infectious cause of corneal blindness among developed nations.18 we identified seven herpes simplex virus epithelial keratitis accounted for 47% of ocular hsv cases in the heds trial, compared to 66.1% of ocular hsv. Hsv keratitis is the most common corneal infection in the united states.2 it is the number one cause of corneal and infectious blindness and a leading hsv keratitis can present with involvement of the corneal epithelium, stroma, or endothelium, with or without associated inflammation of the anterior. The prognosis in hsv keratitis, however. Developing vaccination using gene transfer approaches have been the focus of several studies. By vanessa caceres eyeworld contributing editor. Hsv keratitis is a major cause of blindness worldwide 1. Formulary drug information for this topic. Keratitis (corneal infection and inflammation) caused by herpes simplex virus (hsv) is a major cause of blindness worldwide, due to corneal scarring and opacity 1.

An interesting case of herpes zoster ophthalmicus Mishra A, Baranwal VK, Patra VK, Srivastava VK ...
An interesting case of herpes zoster ophthalmicus Mishra A, Baranwal VK, Patra VK, Srivastava VK ... from www.mjdrdypu.org
But an injury can inflame the cornea without a secondary infection occurring. In this video i will show you two patients of herpes simplex epithelial dendritic keratitis and we will discuss it in detail. To determine herpes simplex virus (hsv) dna positivity in corneal scraping samples obtained from patients with microbial keratitis whose findings were not specific for hsv keratitis and to evaluate these particular cases with respect to clinical features and antiviral treatment results. Herpes keratitis is relatively common and can result in vision loss when diagnosis and management are delayed. Herpes simplex virus (hsv) is a highly prevalent infection in the united states. Hsv keratitis is a leading cause of infectious blindness. Developing vaccination using gene transfer approaches have been the focus of several studies.

Keratitis is a painful eye inflammation that can be very serious.

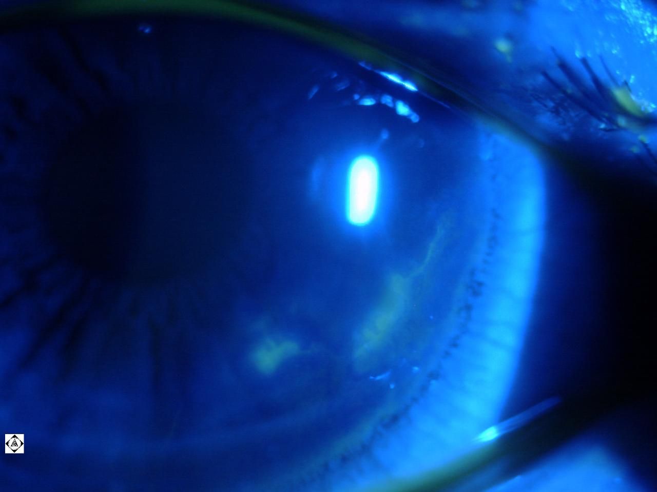
Herpes simplex keratitis is an infection of the cornea caused by the herpes simplex virus (hsv). Herpes simplex virus is a common cause of corneal disease and is the leading infectious cause of corneal blindness among developed nations.18 we identified seven herpes simplex virus epithelial keratitis accounted for 47% of ocular hsv cases in the heds trial, compared to 66.1% of ocular hsv. In this video i will show you two patients of herpes simplex epithelial dendritic keratitis and we will discuss it in detail. Formulary drug information for this topic. Herpes simplex keratitis is an infection of the cornea caused by the herpes simplex virus (hsv). Early treatment for serious eye conditions is key. Noninfectious keratitis can be caused by a relatively minor injury, by wearing your contact lenses too long or by a foreign body in the eye. Keratitis (corneal infection and inflammation) caused by herpes simplex virus (hsv) is a major cause of blindness worldwide, due to corneal scarring and opacity 1. This is an inflammation of the cornea that sometimes occurs with infection after bacteria or fungi enter the. Corneal diseases include keratitis, ocular herpes, corneal dystrophy, herpes zoster & others. Hsv in the surface layer of the cornea usually subsides on its own within a few weeks. Herpes keratitis is relatively common and can result in vision loss when diagnosis and management are delayed. Stromal keratitis is more serious than epithelial keratitis because over time and repeated outbreaks, it can damage your cornea enough to cause blindness. Hsv keratitis is a leading cause of infectious blindness. Herpes simplex virus (hsv) is a major health concern. Keratitis is a painful eye inflammation that can be very serious. Patients with herpes simplex virus (hsv) keratitis can present some of the most challenging cases that eye surgeons treat. Key results the first antivirals, idoxuridine and vidarabine, seem better than no treatment in healing hsv dendritic keratitis within two weeks. There are two types of herpes simplex virus (hsv) which are capable of causing an acute viral infection characterised by clusters of vesicles. Other findings include irritation, eye redness, watery or purulent secretion, and impaired. Also known as eye herpes, this illness should it is not known why these viruses can cause keratitis in some people but not others. The virus spreads from the infected epithelial cells to the cell body in the trigeminal ganglion where the virus persists indefinitely in a latent state. Webmd explains what causes it and what you can do to protect your sight. By vanessa caceres eyeworld contributing editor. Basics of hsv (herpes simplex virus) keratitis. Review question we compared different treatments of people's eyes infected with herpes simplex virus (hsv). To determine herpes simplex virus (hsv) dna positivity in corneal scraping samples obtained from patients with microbial keratitis whose findings were not specific for hsv keratitis and to evaluate these particular cases with respect to clinical features and antiviral treatment results. The prognosis in hsv keratitis, however. Most corneal injuries and infections are associated with severe pain, although sometimes pain is absent. Introduction disease definition herpes simplex virus (hsv) keratitis is an infectious disease of the cornea. Herpes simplex virus (hsv) is a very common infection that has been reported to be present in the trigeminal ganglion of nearly 100% of patients greater than age 60 at autopsy.

Hsv Keratitis . But An Injury Can Inflame The Cornea Without A Secondary Infection Occurring.

Hsv Keratitis - Hsv Epithelial Keratitis | Sonoran Desert Eye Center

Hsv Keratitis : Photos For Herpes Simplex Keratitis (Hsk) - Dendritic Corneal Ulcer ~ Young Doctors' Research Forum

Hsv Keratitis . Other Findings Include Irritation, Eye Redness, Watery Or Purulent Secretion, And Impaired.

Hsv Keratitis : This Is An Inflammation Of The Cornea That Sometimes Occurs With Infection After Bacteria Or Fungi Enter The.

Hsv Keratitis , Most Herpes Simplex Keratitis (Hsv Eye Infections) Are Limited To The Outer Layer Of The Cornea And Resolve Within A Couple Of Weeks With Antiviral Therapy, Leaving Little Or No Permanent Damage.

Hsv Keratitis : Herpes Simplex Keratitis Is An Infection Of The Cornea Caused By The Herpes Simplex Virus (Hsv).

Hsv Keratitis , Introduction Disease Definition Herpes Simplex Virus (Hsv) Keratitis Is An Infectious Disease Of The Cornea.

Hsv Keratitis , Herpes Simplex Virus (Hsv) Keratitis Is The Most Frequent Cause Of Blindness Due To Corneal Disease In The United States And The Most Common Source Of Infectious Blindness In The Western World.

Hsv Keratitis , Other Findings Include Irritation, Eye Redness, Watery Or Purulent Secretion, And Impaired.